Preview

Учёные записки Первого Санкт-Петербургского государственного медицинского университета имени академика И. П. Павлова

Расширенный поиск

ПОРАЖЕНИЕ НЕРВНОЙ СИСТЕМЫ, АССОЦИИРОВАННОЕ С АНТИ-RO/SS-AИ АНТИ-LA/SS-B-АНТИТЕЛАМИ: КЛИНИЧЕСКИЕ НАБЛЮДЕНИЯ И ОБЗОР ЛИТЕРАТУРЫ

https://doi.org/10.24884/1607-4181-2017-24-3-82-91

Аннотация

За последние годы увеличилось число публикаций о поражениях центральной нервной системы (ЦНС), ассоциированных с анти-Ro/SS-Aи анти-La/SS-B-антителами, что может отражать увеличение частоты нейроиммунопатологических состояний. В статье представлены два клинических наблюдения с изолированным поражением ЦНС у пациентов, при обследовании которых выявлены антинуклеарные антитела анти-Ro/SS-A и анти-La/SS-B. В первом случае поражение ЦНС с повышенными титрами анти-Ro/SS-Aи анти-La/SS-B-антител предшествовало развитию клинических и патоморфологических признаков, соответствующих критериям синдрома Шегрена (СШ). Во втором случае после периода флюктуирующего течения воспалительного процесса подтверждено отсроченное онкологическое поражение ЦНС, которое сопровождалось увеличением титров антител, что расценено как паранеопластическое аутоиммунное состояние. Описанные наблюдения демонстрируют возможную гетерогенность неврологических проявлений иммунопатологического процесса и актуальность изучения как иммунологических мишеней анти-Ro/SS-Aи анти-La/SS-B-антител, так и патофизиологических механизмов, ассоциированных с ними заболеваний.

Об авторах

Н. А. Неофидов
Федеральное государственное бюджетное образовательное учреждение высшего профессионального образования «Первый Санкт-Петербургский государственный медицинский университет имени академика И. П. Павлова» Министерства здравоохранения Российской Федерации
Россия

Николай Александрович Неофидов - аспирант кафедры неврологии.

Ул. Льва Толстого, д. 6/8, Санкт-Петербург, 197022



В. С. Краснов
Федеральное государственное бюджетное образовательное учреждение высшего профессионального образования «Первый Санкт-Петербургский государственный медицинский университет имени академика И. П. Павлова» Министерства здравоохранения Российской Федерации
Россия

Владимир Сергеевич Краснов - кандидат медицинских наук, асс. кафедры неврологии



О. В. Родионова
Федеральное государственное бюджетное образовательное учреждение высшего профессионального образования «Первый Санкт-Петербургский государственный медицинский университет имени академика И. П. Павлова» Министерства здравоохранения Российской Федерации
Россия

Ольга Валентиновна Родионова - врач-невролог неврологического отделение №1



Е. В. Бубнова
Федеральное государственное бюджетное образовательное учреждение высшего профессионального образования «Первый Санкт-Петербургский государственный медицинский университет имени академика И. П. Павлова» Министерства здравоохранения Российской Федерации
Россия

Евгения Викторовна Бубнова - кандидат медицинских наук, асс. кафедры рентгенологии и радиационный медицины



Н. А. Тотолян
Федеральное государственное бюджетное образовательное учреждение высшего профессионального образования «Первый Санкт-Петербургский государственный медицинский университет имени академика И. П. Павлова» Министерства здравоохранения Российской Федерации
Россия

Наталья Агафоновна Тотолян – доктор медицинских наук, проф. кафедры неврологии



Список литературы

1. Precipitating autoantibodies in Sjogren’s disease / J. R. Anderson, K. Gray, J. S. Beck, W. F. Kinnear // The Lancet. – 1961. – № 278 (7200). – Р. 456–460.

2. Schulte-Pelkum J., Fritzler M., Mahler M. Latest update on the Ro/SS-a autoantibody system // Autoimmunity Reviews. – 2009. – № 8 (7). – Р. 632–637. doi: 10.1016/j.autrev.2009.02.010.

3. Ghillani P., Andr´e C., Toly C. et al. Clinical significance of anti-Ro52 (TRIM21) antibodies non-associated with anti-SSA 60kDa antibodies: results of a multicentric study // Autoimmunity Reviews. – 2011. – № 10 (9). – Р. 509–513. doi: 10.1016/j.autrev.2011.03.004.

4. Tzioufas A. G., Kapsogeorgou E. K., Moutsopoulos H. M. Pathogenesis of Sjogren’s syndrome: what we know and what we should learn // J. Autoimmun. – 2012. – № 39 (1–2). – Р. 4–8. doi: 10.1016/j.jaut.2012.01.002.

5. Mitsias D. I., Kapsogeorgou E. K., Moutsopoulos H. M. The role of epithelial cells in the initiation and perpetuation of autoimmune lesions: lessons from Sjogren’s syndrome (autoimmune epithelitis) // Lupus. – 2006. – № 12 (6). – Р. 523–532. doi: 10.1111/j.1601-0825.2006.01292.x.

6. Mavragani C. P., Moutsopoulos H. M. The geoepidemiology of Sjogren’s syndrome // Autoimmun. Rev. – 2010. – № 9 (5). – Р. A305–А310. doi: 10.1016/j.autrev.2009.11.004.

7. Alexander E. L., Ranzenbach M. R., Kumar A. J. et al. Anti-Ro (SS-A) autoantibodies in central nervous system disease associated with Sjogren’s syndrome (CNS-SS): clinical, neuroimaging, and angiographic correlates // Neurology. – 1994. – № 44. – Р. 899–908.

8. Alexander E. L., Ranzenbach M. R., Kumar A. J. et al. Anti-Ro (SS-A) autoantibodies in central nervous system disease associated with SjoЕgren’s syndrome (CNS-SS): clinical, neuroimaging, and angiographic correlates // Neurology. – 1994. – № 44. – Р. 899–908.

9. Hernández-Molina G., Leal-Alegre G., Michel-Peregrina M. The meaning of anti-Ro and anti-La antibodies in primary Sjögren’s syndrome // Autoimmun. Reviews. – 2011. – № 10. – Р. 123–125. doi: 10.1016/j.autrev.2010.09.001.

10. Lafitte C., Amoura Z., Cacoub P. et al. Neurological complications of primary SjoЕgren’s syndrome // J. Neurol. – 2001. – № 248 (7). – Р. 577–584.

11. Malinow K. L., Molina R., Gordon B. et al. Neuropsychiatric dysfunction in primary SjoЕgren’s syndrome // Ann. Intern. Med. – 1985. – № 103. – Р. 344–350.

12. Soliotis F. C., Mavragani C. P., Moutsopoulos H. M. Central nervous system involvement in SjoЕgren’s syndrome // Ann. Rheum. Dis. – 2004. – № 63 (6). – Р. 616–620. doi: 10.1136/ard.2003.019497.

13. Guillermo Carvajal Alegria, Dewi Guellec, Xavier Mariette et al. on behalf of the Assessment of Systemic Signs and Evolution in Sjögren’s Syndrome (ASSESS) group. 14. Epidemiology of neurological manifestations in Sjögren’s syndrome: data from the French ASSESS Cohort // Rheumatic and Musculosketal Diseases. – 2016. – № 2 (1). – Р. e000179. doi: 10.1136/rmdopen-2015-000179.

14. Tengner P., Halse A.-K., Haga H.-J. et al. Detection of anti-Ro/SSA and anti-La/SSB autoantibody-producing cels in salivary glands from patients with SjЕogren’s syndrome // Arthritis & Rheumatism. – 1998. – № 41 (12). – Р. 2238–2248. doi: 10.1002/1529-0131(199812)41:12<2238::AID-ART20> 3.0. CO;2-V.

15. Ellen De Langhe, Xavier Bossuyt, Long Shen et al. Evaluation of Autoantibodies in Patients with Primary and Secondary Sjogren’s Syndrome // Open Rheumatol. J. – 2017. –№ 11. – Р. 10–15. doi: 10.2174/1874312901711010010.

16. Rhodes D. A., Ihrke G., Reinicke A. T. et al. The 52 000 MW Ro/SS-A autoantigen in Sjöogren’s syndrome/systemic lupus erythematosus (Ro52) is an interferon-γinducible tripartite motif protein associated with membrane proximal structures // Immunology. – 2002. – № 106 (2). – Р. 246–256. doi: 10.1046/j.1365-2567.2002.01417.x.

17. Kong H. J., Anderson D. E., Lee C. H. et al. Cutting edge: autoantigen Ro52 is an interferon inducible E3 ligase that ubiquitinates IRF-8 and enhances cytokine expression in macrophages // The Journal of Immunology. – 2007. – № 179 (1). – Р. 26–30. doi: https://doi.org/10.4049/jimmunol.179.1.26.

18. Identification of genes differentially regulated by interferon α, β, or γusing oligonucleotide arrays / S. D. Der, A. Zhou, B. R. G. Williams and R. H. Silverman // Proceedings of the National Academy of Sciences of the United States of America. – 1998. – № 95 (26). – P. 15623–15628.

19. Strandberg L., Ambrosi A., Espinosa A. et al. Interferon-αinduces up-regulation and nuclear translocation of the Ro52 autoantigen as detected by a panel of novel Ro52-specific monoclonal antibodies // Journal of Clinical Immunology. – 2008. – № 28 (3). – Р. 220–231. doi:10.1007/s10875-007-9157-0.

20. Geiss G. K., Salvatore M., Tumpey T. M. et al. Cellular transcriptional profiling in influenza a virus-infected lung epithelial cells: the role of the nonstructural NS1 protein in the evasion of the host innate defense and its potential contribution to pandemic influenza // Proceedings of the National Academy of Sciences of the United States of America. – 2002. – № 99 (16). – Р. 10736–10741. doi: 10.3201/eid1201.051186.

21. Zimmerer J. M., Lesinski G. B., Radmacher M. D. et al. STAT1-dependent and STAT1-independent gene expression inmurine immune cells following stimulation with interferon-alpha // Cancer Immunology, Immunotherapy. – 2007. – № 56 (11). – Р. 1845–1852.

22. Yoshimi R., Chang T. H., Wang H. et al. Gene disruption study reveals a nonredundant role for TRIM21/Ro52 in NF-κB-dependent cytokine expression in fibroblasts // The Journal of Immunology. – 2009. – № 182 (12). – Р. 7527–7538. doi: 10.4049/jimmunol.0804121.

23. Espinosa A., Dardalhon V., Brauner S. et al. Loss of the lupus autoantigen Ro52/Trim21 induces tissue inflammation and systemic autoimmunity by disregulating the IL-23-Th17 pathway // Journal of Experimental Medicine. – 2009. – № 206 (8). – Р. 1661–1671. doi: 10.1084/jem.20090585.

24. Yoshimi R., Ishigatsubo Y., Ozato K. Autoantigen TRIM21/ Ro52 as a possible target for treatment of systemic lupus erythematosus // International Journal of Rheumatology. – 2012. – № 2012(2012). – 11 p. Article ID 718237. doi: 10.1155/2012/718237.

25. Rajsbaum R., Stoye J. P., O’Garra A. Type I interferondependent and -independent expression of tripartite motif proteins in immune cells // Eur. Journ. of Immunology. – 2008. – № 38 (3). – Р. 619–630.

26. TRIM family proteins and their emerging roles in innate immunity / K. Ozato, D. M. Shin, T. H. Chang, H. C. Morse III // Nature Reviews Immunology. – 2008. – № 8 (11). – Р. 849–860. doi: 10.1038/nri2413.

27. Karlsen M., Jakobsen K., Jonsson R. et al. Expression of Toll-Like Receptors in Peripheral Blood Mononuclear Cells of Patients with Primary Sjögren’s Syndrome // Scand. J. Immunol.– 2017. – № 85 (3). – Р. 220–226. doi: 10.1111/sji.12520.

28. Binding of the 60-kDA Ro autoantigen to Y RNAs: evidence for recognition in the major groove of a conserved helix / C. D. Green, K. S. Long, H. Shi, S. L. Wolin // RNA. – 1998. – № 4 (7). – Р. 750–765.

29. Belisova A., Semrad K., Mayer O. et al. RNA chaperone activity of protein components of human Ro RNPs // RNA. – 2005. – № 11 (7). – Р. 1084–1094. doi: 10.1261/rna.7263905.

30. Wolin S. L., Reinisch K. M. The Ro 60 kDa autoantigen comes into focus: Interpreting epitope mapping experiments on the basis of structure // Autoimmunity Reviews. – 2006. – № 5 (6). – Р. 367–372. doi: 10.1016/j.autrev.2005.10.004/

31. O’Brien C. A., Wolin S. L. A possible role for the 60-kD Ro autoantigen in a discard pathway for defective 5S rRNA precursors // Genes and Development. – 1994. – № 8 (23). – Р. 2891–2903. doi: 10.1101/gad.8.23.2891.

32. Chen X., Smith J. D., Shi H. et al. The Ro autoantigen binds misfolded U2 small nuclear RNAs and assists mammalian cell survival after UV irradiation // Current Biology. – 2003. – № 13 (24). – Р. 2206–2211. doi: 10.1016/j.cub.2003.11.028.

33. Doria A., Canova M., Tonon M. et al. Infections as triggers and complications of systemic lupus erythematosus // Autoimmunity Reviews. – 2008. – № 8 (1). – Р. 24–28. doi: 10.1016/j.autrev.2008.07.019.

34. Poole B. D., Templeton A. K., Guthridge J. M. et al. Aberrant epstein-barr viral infection in systemic lupus erythematosus // Autoimmunity Reviews. – 2009. – № 8 (4). – Р. 337–342. doi: 10.1016/j.autrev.2008.12.008.

35. Evidence of an immunopathogenic basis for central nervous system disease in primary SjoЕgren’s syndrome / E. L. Alexander, J. E. Lijewski, M. S. Jerdan, G. E.Alexander // Arthritis. Rheum. – 1986. – № 29. – Р. 1223–1231. doi: 10.1002/art.1780291007.

36. Sanders M. E., Alexander E. L., Koski C. L. et al. Detection of activated terminal complement (C5b-9) in cerebrospinal fluid from patients with central nervous system involvement of primary SjoЕgren’s syndrome or systemic lupus erythematosus // J. Immunol. – 1987. – № 138. – Р. 2095–2099.

37. Alexander E. L. Neurologic disease in Sjogren’s syndrome: mononuclear inflammatory vasculopathy affecting central/peripheral nervous system and muscle. A clinical review and update of immunopathogenesis // Rheum. Dis. Clin. North Am. – 1993. – № 19. – Р. 869–908.

38. Alfonso Massara, Sara Bonazza, Gabriella Castellino et al. Central nervous system involvement in Sjögren’s syndrome: unusual, but not unremarkable clinical, serological characteristics and outcomes in a large cohort of Italian patients // Rheumatology (Oxford). – 2010. – № 49. – Р. 1540–1549. doi: 10.1093/rheumatology/keq111.

39. Recurrence of subarachnoid hemorrhage due to the rupture of cerebral aneurysms in a patient with Sjögren’s syndrome: case report / K. Hayashi, Y. Morofuji, K. Suyama, I. Nagata // Neurol. Med. Chir. (Tokyo). – 2010. – № 50. – Р. 658–661. doi: 10.2176/nmc.50.658.

40. Giordano M. J., Commins D., Silbergeld D. L. Sjögren’scerebritis complicated by subarachnoid hemorrhage and bilateral superior cerebellar artery occlusion: case report // Surg. Neurol. – 1995. – № 43. – Р. 48–51. doi: 10.1016/0090-3019(95)80037-H.

41. Feist E., Hermann K. G., Dankof A. Vasculopathy in Sjögren’s syndrome // Z. Rheumatol. – 2009. – № 68. – Р. 305–311. doi: 10.1007/s00393-008-0400-8/

42. Primary Sjögren’s syndrome presenting with multiple aneurysmal dilatation of cerebral arteries and causing repetitive intracranial hemorrhage / Komatsu T.,Mitsumura H, Yuki I,Iguchi Y. // J. Neurol. Sci. – 2016. – № 15 (365). – Р. 124–125. doi: 10.1016/j.jns.2016.04.035.

43. Terrier B., Lacroix C., Guillevin L. et al. Diagnostic and prognostic relevance of neuromuscular biopsy in primary Sjögren’s syndrome-related neuropathy // Arthritis Rheum. – 2007. – № 57 (8). – Р. 1520–1529. doi: 10.1002/art.23102.

44. Wenzel J., Gerdsen R., Uerlich M. et al. Antibodies targeting extractable nuclearantigens: historical development and current knowledge // Br. Journ. of Dermatology. – 2001. – № 145 (6). – Р. 859–867. doi: 10.1046/j.1365-2133.2001.04577.x.

45. Shiboski S. C., Shiboski C. H., Criswell L. A. et al. American College of Rheumatology Classification Criteria for Sjögren’s Syndrome: A Data-Driven, Expert Consensus Approach in the Sjögren’s International Collaborative Clinical Alliance Cohort For The Sjögren’s International Collaborative Clinical Alliance (Sicca) Research Groups // Arthritis Care & Research. – 2012. – № 64 (4). – Р. 475–487. doi: 10.1002/acr.21591.

46. Penagaricano J. A., Linskey M. E., Ratanatharathorn V. Accelerated cerebral vasculopathy after radiation therapy to the brain // Neurol. India. – 2004. – № 52. – Р. 482–486.

47. Kirshner H. S. Hashimoto’s encephalopathy: a brief review // Curr. Neurol. Neurosci. Rep. – 2014. – № 14 (9). –Р. 476. doi: 10.1007/s11910-014-0476-2.


Дополнительные файлы

1. Письмо-сопровождение
Тема
Тип Данные
Посмотреть (198KB)    
Метаданные ▾
2. Сопроводительное письмо
Тема
Тип Данные
Метаданные ▾
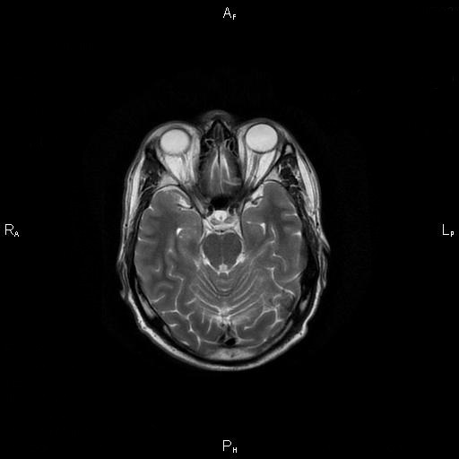
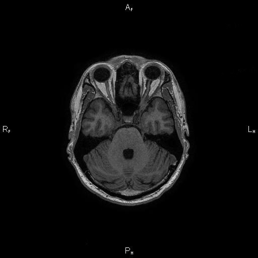
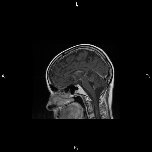
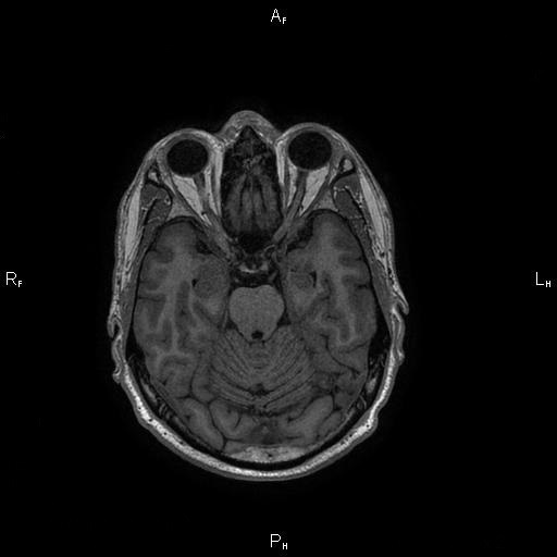
3. Подписи к рисункам
Тема
Тип Материалы исследования
Скачать (14KB)    
Метаданные ▾
4. Рис. 1а
Тема
Тип Материалы исследования
Посмотреть (29KB)    
Метаданные ▾
5. Рис. 1б
Тема
Тип Материалы исследования
Посмотреть (28KB)    
Метаданные ▾
6. Рис. 2а
Тема
Тип Материалы исследования
Посмотреть (28KB)    
Метаданные ▾
7. Рис. 2б
Тема
Тип Материалы исследования
Посмотреть (33KB)    
Метаданные ▾
8. Рис. 3а
Тема
Тип Материалы исследования
Посмотреть (11KB)    
Метаданные ▾
9. Рис. 3б
Тема
Тип Материалы исследования
Метаданные ▾
10. Рис. 3в
Тема
Тип Материалы исследования
Посмотреть (13KB)    
Метаданные ▾
11. Рис. 4
Тема
Тип Материалы исследования
Метаданные ▾

Рецензия

Для цитирования:


Неофидов Н.А., Краснов В.С., Родионова О.В., Бубнова Е.В., Тотолян Н.А. ПОРАЖЕНИЕ НЕРВНОЙ СИСТЕМЫ, АССОЦИИРОВАННОЕ С АНТИ-RO/SS-AИ АНТИ-LA/SS-B-АНТИТЕЛАМИ: КЛИНИЧЕСКИЕ НАБЛЮДЕНИЯ И ОБЗОР ЛИТЕРАТУРЫ. Учёные записки Первого Санкт-Петербургского государственного медицинского университета имени академика И. П. Павлова. 2017;24(3):82-91. https://doi.org/10.24884/1607-4181-2017-24-3-82-91

For citation:


Neofidov N.A., Krasnov V.S., Rodionova O.V., Bubnova E.V., Totolyan N.A. THE NEUROLOGICAL DISORDERS ASSOCIATED WITH THE ANTIRO/SS-A AND ANTI-LA/SS-B ANTIBODIES: CASE PRESENTATIONS WITH THE LITERATURE REVIEW. The Scientific Notes of the Pavlov University. 2017;24(3):82-91. (In Russ.) https://doi.org/10.24884/1607-4181-2017-24-3-82-91

Просмотров: 1090

JATS XML


Creative Commons License
Контент доступен под лицензией Creative Commons Attribution 4.0 License.


ISSN 1607-4181 (Print)
ISSN 2541-8807 (Online)